
漫谈肿瘤丨得了肺癌还能活多久?
当"肿瘤"成为第一诊断,慌乱与迷茫常如潮水般涌来。但请相信,这并非命运的最终宣判。我们将带您重新认识这位"不速之客":化疗不是洪水猛兽,靶向治疗藏着基因密码,免疫治疗正唤醒人体自愈力,而中医千年智慧始终为生命续航。
肿瘤治疗早已不是非黑即白的战场,精准医学的显微镜下,每个病例都是独特的生命叙事。医患同心共筑防线,科学为伴贯穿防治,关注【漫谈肿瘤】,让我们以科学为舟,穿越认知的迷雾海;以希望为帆,驶向健康的新航程。
得了肺癌还能活多久?
作为一名肿瘤科医生
在日常诊疗过程中需面临
患者及家属许多形形色色的问题
然而大家最关心的问题就是
“得了肿瘤能活多久?”
这让我想起了两年前诊治的
一位肺癌患者
她是一位刚满40岁的年轻妈妈
因为出现双下肢乏力、影响行走前来就诊
经过一系列检查确诊为
肺腺癌伴颅内、多发淋巴结转移
对于两个孩子的母亲来说
被确诊为肿瘤已是晴天霹雳
更何况是合并脑转移的晚期肺癌
晚期!
多处转移!
我想大部分群众的第一反应
心里应该已经把这一生命画上了句号!
谈癌色变
患者及家属心理肯定承受了巨大压力
幸运的是大家都没想过放弃
经过基因检测
提示这位患者的基因
存在EML4-ALK 融合
这个结果给我们医生的治疗带来巨大信心
也给这位患者带来了生的希望
ALK融合在中国非小细胞肺癌人群中的突变率虽为6%,但却是医学界俗称的“钻石”靶点。
从第一代ALK抑制剂克唑替尼,第二代阿来替尼、色瑞替尼的问世,到目前第三代ALK抑制剂洛拉替尼已经上市,短短十年时间,靶向药物更新迭代,治疗效果更是振奋人心。
于是
我们给这位年轻患者口服了靶向药
短短一个月
患者肺部和脑部肿瘤就出现明显退缩
随访至今
肺部、颅内、可见淋巴结、腹腔等
多处病灶完全缓解
患者日常生活无异于常人
我们对她能生存5年,甚至10年充满信心
可能更长
……
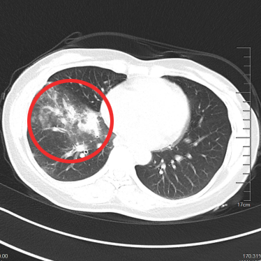
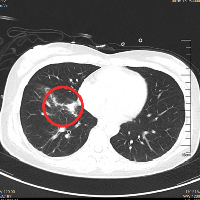
▲治疗前
▲治疗后1月
▲治疗后2年半
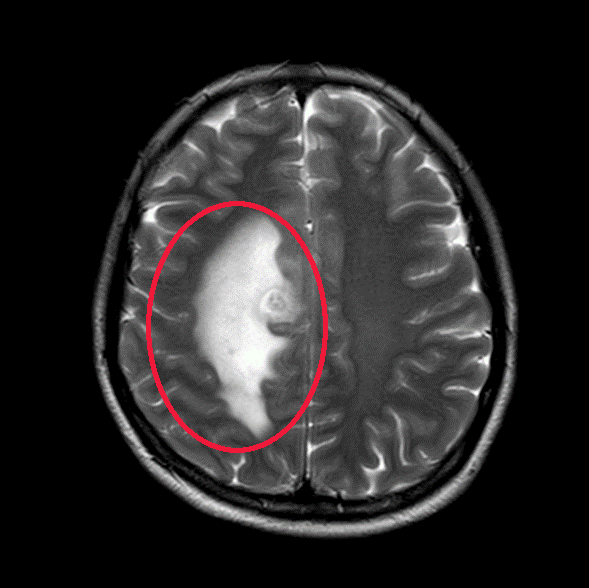
▲治疗前
▲治疗后1月
▲治疗后2年半
2024年2月2日,IARC(国际癌症研究机构)最新发布的数据显示,在2022年,肺癌新发病例高达248.1万例,占全球癌症新增病例的12.4%。
这也是肺癌在2020年被乳腺癌超越后,再次成为全球第一大癌症。同时,肺癌也是最“致命”的癌症。在2022年,它一共造成181.7万人死亡,占所有癌症死亡病例的18.7%,在所有恶性肿瘤死亡顺位中排第1位。
中国肺癌疾病负担沉重,全球超过三分之一的肺癌发病和死亡发生在我国。基于人群肿瘤登记处生存率结果显示,2012—2015年,我国肺癌5年生存率仅为19.7%。
那么
得了肺癌
在科技发展取得巨大进步的今天
究竟可以活多久呢
真的就直接被判“死刑”吗?
早期肺癌可以活多久?
肿瘤的分期,直接影响了患者的预后。研究数据显示,早期肺癌(I-Ⅱ期、Ⅲ期可手术者)患者接受根治术后,90%以上的患者可以获得长期生存。
这也提示大家,要重视每年的体检,肺癌是可防可治的疾病。在此,建议以下高风险人群定期进行肺癌筛查:
a)吸烟包年数不少于30(包年),包括曾经吸烟不少于30(包年),但戒烟不足15年;
b)与 a)共同生活或同室工作被动吸烟(吸二手烟)超过20年;
c)患有慢性阻塞性肺疾病;
d)有职业暴露史不少于一年,包括暴露于石棉、氡、铍、铬、镉、硅、煤烟和煤烟灰;
e)有一级亲属确诊肺癌。
注1:吸烟包年数=每天吸烟的包数(每包20支)x吸烟年数
注2:一级亲属指父母、子女及兄弟姐妹(同父母)
晚期肺癌可以活多久?
如果发现肺癌的时候已经是晚期了,还能活多久呢?
在上世纪90年代,化疗是人类抗击肿瘤的唯一手段。尽管第三代化疗药物:多西他赛、紫杉醇、吉西他滨等在临床上得到了广泛使用,但是晚期肺癌患者的平均总生存时间只有8—12个月(不针对个别案例)。
到了2005年,第一个靶向药物“易瑞沙”上市,肺癌的治疗开始进入精准治疗的时代,化疗逐步退居二线。
2015年,PD-1/PDL-1面世,肺癌的治疗开始进入免疫时代,它的机理是通过激活或增强免疫系统功能,帮助识别和消灭癌细胞。
至此,化疗、靶向治疗、免疫治疗开始成为晚期肺癌患者抗击肿瘤的三大武器。那么,在医疗快速的发展下,得了晚期肺癌,究竟可以活多久?除了确诊时候的肿瘤分期,肺癌患者的生存时间还取决于患者的基因分型,在此做常见分型的简单介绍。
注:中国非小细胞患者中,常见的驱动基因包括EGFR、KRAS、ALK、HER2、RET、BRAF等,其中EGFR突变占比50.3%;在不吸烟的肺腺癌患者中,EGFR突变率较高,占比74.5%。
EGFR突变型
EGFR(表皮生长因子受体)突变,是第一个被确认的肺癌驱动基因,常见于非小细胞肺癌,尤其是腺癌,突变导致EGFR持续激活,促进癌细胞生长。“易瑞沙”也是第一个肺癌治疗领域的靶向药物。随着它在临床上的应用,以及耐药基因的发现,第三代药物如奥西替尼、阿美替尼、伏美替尼都已广泛应用于临床。至此,EGFR突变型肺癌患者的总生存时间大大延长。
ALK融合型
ALK(间变性淋巴瘤激酶)基因融合是第二个被确认的肺癌驱动基因,其功能是参与细胞信号传导。ALK基因重排多见于非小细胞肺癌,尤其是年轻非吸烟患者,导致ALK蛋白异常激活。在EGFR靶向药物成功研发的基础上,以ALK为靶点的小分子药物快速上市,从第一代ALK抑制剂克唑替尼,第二代阿来替尼、色瑞替尼的问世,到目前第三代ALK抑制剂劳拉替尼已经上市,短短十年时间,ALK靶向药物的研发,已经经历了三代,相比以往其他领域新药研发到进入临床的时间,这是一个快速发展的时代。现有的临床研究显示,ALK阳性的晚期肺癌患者平均生存期预计超过10年!真正做到了将晚期肺癌患者向慢性疾病管理转化(上文提到的病例就是该基因分型)。
PDL-1阳性
对于EGFR/ALK基因阴性的肺癌患者,有相当一部分可能出现PD-L1(程序性死亡配体-1)阳性表达。PD-L1是一种免疫检查点蛋白,通过与免疫细胞(如T细胞)上的PD-1(程序性死亡受体-1)结合,抑制免疫细胞的活性,帮助肿瘤细胞逃避免疫系统的攻击。PD-L1阳性意味着肿瘤细胞可能通过PD-1/PD-L1通路抑制免疫反应,从而逃避免疫系统的清除。PD-L1表达水平越高,提示接受免疫治疗的效果可能更好。自2015年免疫治疗开始真正进入临床应用以来,免疫疗法逐步在各个瘤种中显示出卓越的成效,已成为肿瘤内科最有潜力的疗法。这使得为未来晚期肿瘤转向慢性疾病管理,带来了新希望。
全阴型
如若没有发现阳性驱动基因,也没有PD-L1阳性表达,是否除了化疗,我们就束手无策了?不,在医疗快速发展的大时代之下,我们发现,联合治疗比单打独斗的效果是要好的。化疗联合抗血管生成药物,化疗联合免疫治疗等,这些联合疗法的使用,都使得晚期肺癌患者获得了巨大的生存获益。未来,科学家在和时间赛跑,不断地研发新的治疗药物。肺癌患者,也应该和自己赛跑,听从科学,增强信心,在医疗指引下,战胜病魔!
随着二代测序技术在临床上的广泛应用,将有越来越多的驱动基因被发现,越来越多的药物被研发,肺癌患者抗击肿瘤的武器也越来越多。
未来,我们期待不再有人问:得了肺癌可以活多久?这就好比不会有人问,得了高血压可以活多久了。
最后友情提示:肺癌早诊早治尤其关键,呼吁大家重视体检及肺癌早期筛查!
参考文献:
1. 2025CACA肺癌指南。
2. 2024CSC0肺癌指南。
3. 2024NCCN肺癌指南。
《漫谈肿瘤》科普小分队
来源:昆山市中医医院




























