大多数耳鸣无法根治,除了这一类

2025-08-28 聚焦昆山 顾清风

图片
图片

耳鸣是多种病因影响

听觉系统而出现的症状

病因复杂,分类较多

目前绝大多数耳鸣无法找到具体的原因

也没有特效的治疗方法

就像常见的神经性耳鸣

最好的办法就是和它“和解”

尝试与它“和平相处”

但是有部分耳鸣

我们可以找到具体的病因

甚至使用包括手术的方式来治愈它

比如

我们今天要说的血管性耳鸣

图片
图片

知识链接

图片

x

1. 血管性耳鸣,又称搏动性耳鸣,是一种患者能听到与心跳同步的节律性声音的耳鸣类型,通常由血管异常,常见的病因有:血管结构异常,血流变化(高血压动脉粥样硬化患者引起的动脉性涡流现象),颅内压增高等等。

2. 我们可以通过压颈试验来初步判断耳鸣是否与血管异常有关:压迫每侧颈静脉及乳突区,观察耳鸣是否会减轻、消失或增强,没有变化耳鸣可能与血管无关。(不要自行用力按压颈部,以免导致晕厥或血管损伤)

目前的部分研究指出:血管性耳鸣较为少见,约占耳鸣患者的4%,发病率与年龄及性别没有显著差异性,在中青年居多,老年人少见,搏动性耳鸣常见于右侧,且颅脑静脉窦呈明显右侧优势,两者有明显相关性。


图片


图片
图片
图片



分享近期门诊遇到的

几例搏动性耳鸣病例



外耳道耵聍栓塞

导致的搏动性耳鸣


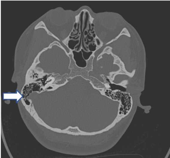
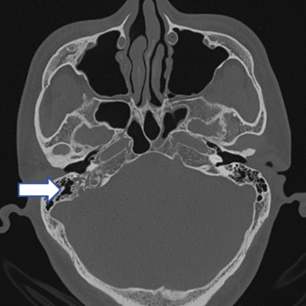
45岁的张女士,2周前出现左耳搏动性耳鸣,与心跳同步,压颈试验耳鸣声减轻。查体见左侧外耳道耵聍栓塞,完全堵塞,无法窥及鼓膜,右侧外耳道无异常。乳突无压痛。

图片

完善CT示:左侧外耳道耵聍、乳突炎

初步诊断

血管性耳鸣,左侧耵聍栓塞

图片

患者的搏动性耳鸣,可能与外耳道封闭放大血流声或局部血管受压、乳突炎症有关。通过取出耵聍后,患者耳鸣明显好转。


乙状窦前位、骨壁缺损

乙状窦憩室引起的搏动性耳鸣


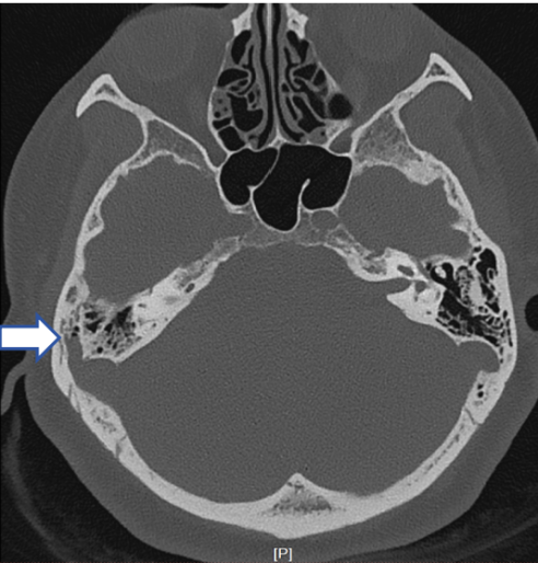
45岁的李女士,间断右侧搏动性耳鸣已经好几年,尤其在打哈欠时容易出现,轰轰声,与脉搏同步,耳朵里像装上了小马达。查看双侧外耳道、鼓膜都没有异常,进一步做了CT检查,发现:

图片

CT示:右乙状窦憩室侵入右颞骨及乳突气房

初步诊断

血管性耳鸣、乙状窦憩室

图片

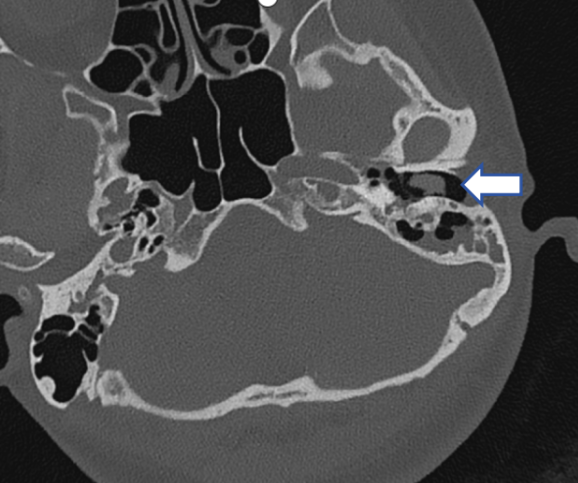
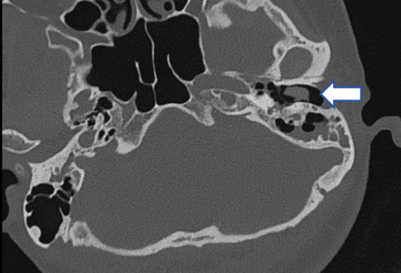
40岁的王女士,也是右耳搏动性耳鸣一年多,间断出现,与脉搏同步,后来逐渐加重,呈吹风样耳鸣声。双侧外耳道、鼓膜也没有异常,CT发现是右侧乙状窦骨壁缺损。

图片

初步诊断

血管性耳鸣,右侧乙状窦骨壁缺损

图片

乙状窦是我们耳朵后方头骨内一条非常重要的静脉血管,它就像大脑的“血液回收通道”,负责把大脑使用过的血液送回心脏。

图片

正常情况下,乙状窦和耳朵之间有一层厚实的乳突骨,就像一堵“隔音墙”,即使血管里有血液流动,我们也不会听到任何声音。但是,当发生乙状窦憩室(简单来说,就是血管壁局部像吹气球一样鼓起一个小包)时,血液流经这个异常的结构就会产生漩涡和湍流,发出比平时更响的“哗哗”声,就像水管某个地方堵塞时发出的异响一样。更重要的是,如果这个血管鼓包正好紧贴着头骨,或者天生存在骨板缺损/变薄(相当于“隔音墙”上出现了裂缝),这种异常的血管杂音就会直接传导到内耳。

图片
图片

知识链接

图片

x

乙状窦前位的诊断:乙状窦沟在乳突的压迹的前壁距离到外耳道的后壁的距离正常情况下10~14mm,小于10mm考虑异常。


面对上面的病例,乙状窦前位、骨壁缺损、憩室引起的血管性耳鸣,如果实在困扰患者,不能与之“和解”甚至出现睡眠等问题,我们可以尝试采取手术治疗,主要有乙状窦骨壁重建术,用自体材料(骨粉、肌肉、筋膜)或通过人工材料(钛网、骨水泥),通过重建乙状窦骨以恢复血管壁正常形态及加强对血流声的屏蔽能力。目前部分研究指出手术行乙状窦骨壁重建可以得到满意的效果,当然术前我们还需要完善CTA/MRA等排除动静脉瘘等问题。


颈静脉孔区占位

中耳肿瘤引起的搏动性耳鸣


41岁的王先生,右耳耳鸣三月余,安静时明显,持续加重,有节律性,与脉搏节律一致,休息不好容易加重。查看双侧外耳道通畅,鼓膜稍浑浊。

CT发现右侧颞骨异常密度灶伴骨质破坏影,右侧内听道稍增宽。

图片

初步诊断

颞骨、颈静脉孔区占位

图片

43岁的顾女士,也发现左耳耳鸣四月余,搏动性,压颈试验耳鸣无明显减轻。查体发现左侧外耳道通畅,透过透明鼓膜依稀可见中耳红色肿物影。

图片

初步诊断

左侧中耳占位

图片

这些情况需要我们

进一步完善检查

确诊后尽早施行手术治疗!



图片
图片





重视搏动性耳鸣

及时就医是关键



图片

血管性耳鸣的严重程度

与患者对耳鸣的了解程度有关

很少会伴有明显的听力下降

但部分患者可能伴有

高血压、睡眠障碍及高血压等疾病

血管性耳鸣不同于神经性耳鸣

血管性“有因可寻”

约30%的患者可找到明确病因

如果发现搏动性耳鸣

及时就诊可能发现隐藏在背后的问题。

科学应对,重拾宁静。


图片





本期作者



图片

吴建翰 耳鼻喉科主治医师

擅长耳鼻喉科常见病的诊治,主要从事耳内科工作,包括有耳鸣、耳聋、周围性眩晕、前庭康复等疾病的诊治。





审核专家



图片

蒋锐 耳鼻喉科主任

副主任医师,医学硕士,苏州市中西医结合学会耳鼻喉科专业委员会副主任委员,昆山市医学会耳鼻咽喉头颈外科学专业委员会副主任委员。擅长鼻、鼻窦急慢性炎症的诊治与手术,咽喉部、头颈部疾病的诊治如声带息肉、声带白斑、会厌肿物、扁桃体腺样体肥大、颈部肿块、鼾症的保守及手术治疗以及声音嘶哑的显微微创治疗等。



图片
图片

来源:昆山市中医医院


已有0人打赏

已有0人打赏

分享到微信/朋友圈 领红包

每天看看帖,就赚牡丹花,免费好礼立即入手。

打赏
0人赞

推广

部分评论
今日热门
  • #每天一条昆友圈# #三餐四季 温柔有趣#

    拆南墙

    30
  • #每天一条昆友圈# #三餐四季 温柔有趣#

    拆南墙

    29
  • #每天一条昆友圈# #三餐四季 温柔有趣#

    拆南墙

    27
  • 早安#每天一条昆友圈##昆山有哪些美景?#

    清芬自远

    20
  • 周三早安#今日份早餐打卡成功# #每天一条昆 ..

    樱桃小包子

    20
  • 早上好

    冰雪飞舞

    19
  • 珍惜每一个晴朗的日子,热爱每一寸温暖的阳 ..

    飞鱼儿岛主

    19
  • 来了来了,早上好啊! 祝各位周三愉快! # ..

    快乐老儒儒-1

    19
精彩推荐
加载更多
精彩活动更多
论坛服务
触屏版 / 电脑版

other
马上开启