“当日入院当日手术”,昆山中医院创伤团队高效诊疗新模式为患者减负
76岁的顾老伯
国庆节当天不慎跌倒
苦熬了一夜后实在难于忍受膝盖疼痛
10月2日在急诊骨科就诊
经急诊检查后明确左髌骨粉碎性骨折

12:00入院
排除手术禁忌
15:00手术
创伤中心医师赵一峰
张翔主治医师为患者
急诊做了
左髌骨骨折切开复位克氏针张力带内固定术
术后予以中药活血化瘀、强筋健骨调理
病人家属开心的说
没想到中医院还能这么快给安排了手术
早知道早就来看病了

在过去,“入院床位紧张” “术前等待时间长”,一直是长期困扰骨科医护团队的难题,很多患者也因为无法及时接受手术治疗而饱受病痛的折磨,住院成本大大增加。
经医院各部门充分统筹协调,10月1日起,创伤中心再次改组优化,骨科医疗资源向急诊倾斜,创伤骨科主任姜兴华带领20位骨科医生,分5个小组,囊括中西医,24h严阵以待,贯彻落实“创伤不过夜”理念,在严格把握手术禁忌指征的条件下,为当天骨折创伤患者实行当天手术,并辅以中医药技术,确保患者们在黄金救治时间内完成关键治疗,急诊科、麻醉科、检验科、影像科等多科室紧密合作,构建了高效的急救体系,全力保障患者生命安全。
救治多元
各团队全力以赴

10月1日,李女士(化名)因车祸致右上肢骨折,13:30入院,黄磊医师团队完善各项检查后于18:00实行右肱骨骨折切开复位内固定术, 20:00安返病房。


10月3日,60岁的陆女士(化名)滑倒后右手撑地,16:30入院就诊,顾晓娟医师团队诊断为:右尺桡骨骨折,充分评估后,22:00开始手术,1小时后返回病房。


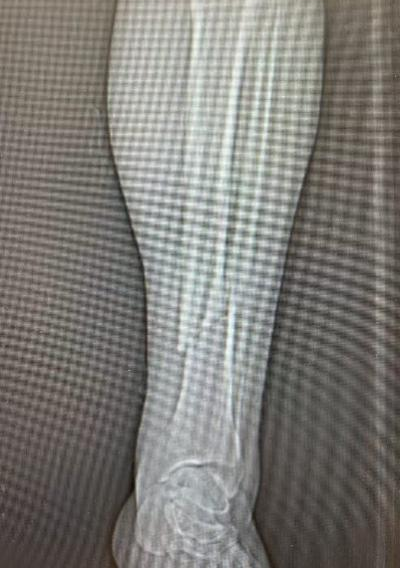
10月4日,59岁张先生不慎被他人电瓶车撞伤致左踝、左小腿疼痛,来院就诊后,王建伟医师团队为患者实行“左胫骨骨折切开复位内固定术”


10月5日,40岁李先生摔倒致右肩部着地,8:40入院后,高峰医师团队诊断为“右肱骨近端粉碎性骨折”,13:35做好充分术前准备后历经3小时手术完成。


“当日入院当日手术”,该模式的实施不仅显著缩短了患者的术前等待时间,降低了住院费用和治疗成本,还节约了医疗资源,提高了医院运营效率,减少了对病床资源的占用,从而释放了更多床位资源,确保了疑难危重患者能够及时有效的住院治疗。
最重要的是其极大地改善了患者的就医体验,让患者深切感受到医、护、技、康中西医结合多学科团队的专业性和紧密协作,创新并提升了患者整体就医体验。


据统计,假期8天,创伤骨科接诊急诊患者745人次,总收住入院62人次,手术49人次,其中急诊手术30人次,急诊手术占比61%。创伤骨科姜兴华主任表示:“创伤不过夜”是指创伤后尽可能在24小时内完成手术,其核心是抓住损伤早期的治疗窗口,但并非适用于所有创伤。虽然“创伤不过夜”有其优点,如减少并发症风险、促进功能恢复、缩短治疗周期等,但也给创伤中心医师带来了挑战,我们将不断提升急诊医疗资源匹配能力,优化中西医骨伤专业人才结构,充分发挥中医药在骨伤治疗中的特色优势,完善术前评估,以最恰当的时机,带给患者最合适的治疗。
来源:昆山市中医医院