夜间模式
  • 45584阅读
  • 14回复

历时两年半的早期矫正中场休息一下,效果肉眼可见的好 [复制链接]

上一主题 下一主题
离线登高望远
发帖
11001
昆币
27983 枚
只看楼主 使用道具 电梯直达
楼主  发表于: 2024-10-16 , 来自:江苏省0==
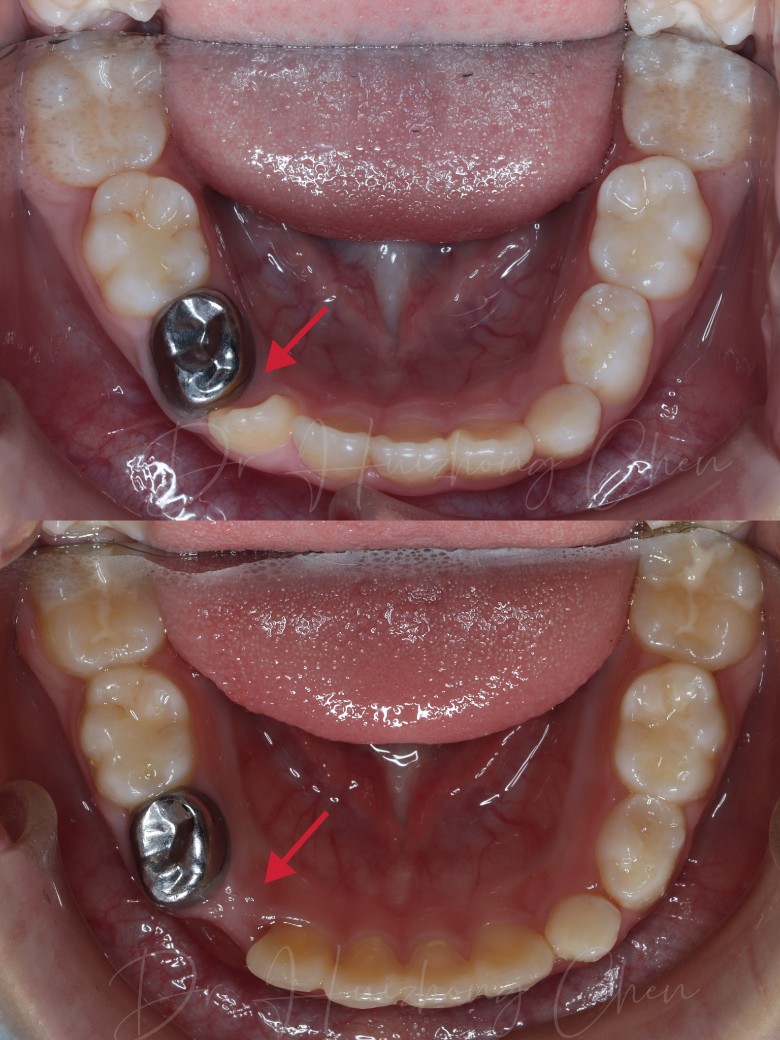
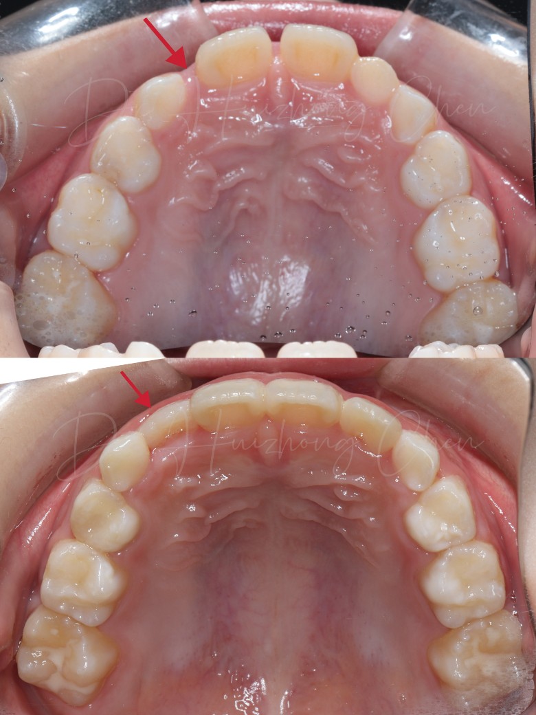
前面戴了不到一年的牙套吧,改善的还不错, 中场休息戴一段时间的保持器等换几颗牙再开始下一步方案,没空长牙的间隙肉眼可见的拉出来了,长歪的牙也拉的正正的了熊孩子配合的也不错,一天到晚除了吃饭都乖乖戴着,戴了这么久只丢过一副牙套,唯一的槽点就是刷牙太敷衍了,每次去都要被医生教育一下刷牙认真认真再认真点
昨天才去换的保持器,说话都口齿不清,让我跟老师们打个招呼说读课文会不标准的,我说我一个个老师去打招呼吗?他说算了那还是我自己说吧







本帖评分记录
不会被 昆币 +1 -来自昆山论坛APP 2024-10-16
miss小俏 昆币 +1 -来自昆山论坛APP 2024-10-16
蓝天白云liu 昆币 +1 -来自昆山论坛APP 2024-10-16
倾城风雪 昆币 +1 -来自昆山论坛APP 2024-10-16
123扎西德勒 昆币 +1 -来自昆山论坛APP 2024-10-16
5条评分昆币+5
爆料有奖!关注昆山论坛抖音号,抖音搜索“昆山论坛”,或搜索抖音号:ksbbs
 
美女离线静水流深。
级别: 昆山名人

发帖
98886
昆币
173 枚
沙发  发表于: 2024-10-16 , 来自:江苏省0==
还是蛮整齐的
爆料有奖!关注昆山论坛抖音号,抖音搜索“昆山论坛”,或搜索抖音号:ksbbs
 
美女在线爱上幸福的感觉
级别: 昆山名人
发帖
37008
昆币
69395 枚
板凳  发表于: 2024-10-16 , 来自:江苏省0==
现在看着蛮整齐的
爆料有奖!关注昆山论坛抖音号,抖音搜索“昆山论坛”,或搜索抖音号:ksbbs
 
美女离线赵海梅1026
发帖
529
昆币
52 枚
地板  发表于: 2024-10-16 , 来自:江苏省0==
几岁可以去整牙,在哪里整的牙。
爆料有奖!关注昆山论坛抖音号,抖音搜索“昆山论坛”,或搜索抖音号:ksbbs
 
离线登高望远
发帖
11001
昆币
27983 枚
4楼 发表于: 2024-10-16 , 来自:江苏省0==
回 赵海梅1026 的帖子
赵海梅1026:几岁可以去整牙,在哪里整的牙。 (2024-10-16 11:36)

说不好是几岁,要找个靠谱的医生评估下
爆料有奖!关注昆山论坛抖音号,抖音搜索“昆山论坛”,或搜索抖音号:ksbbs
 
离线江南思绪
级别: 昆山名人

发帖
41570
昆币
48375 枚
5楼 发表于: 2024-10-16 , 来自:江苏省0==
不错...............
爆料有奖!关注昆山论坛抖音号,抖音搜索“昆山论坛”,或搜索抖音号:ksbbs
 
帅哥离线六道杠少年
级别: 昆山过客
发帖
68
昆币
231 枚
6楼 发表于: 2024-10-16 , 来自:江苏省0==
我家也有这个情况,你这花了多少
爆料有奖!关注昆山论坛抖音号,抖音搜索“昆山论坛”,或搜索抖音号:ksbbs
 
离线登高望远
发帖
11001
昆币
27983 枚
7楼 发表于: 2024-10-16 , 来自:江苏省0==
回 六道杠少年 的帖子
六道杠少年:我家也有这个情况,你这花了多少 (2024-10-16 13:35)

预估两年半的时间,一共两万四不到吧
本帖评分记录
不会被 昆币 +1 -来自昆山论坛APP 2024-10-16
1条评分昆币+1
爆料有奖!关注昆山论坛抖音号,抖音搜索“昆山论坛”,或搜索抖音号:ksbbs
 
帅哥离线爱吃三文鱼
发帖
1284
昆币
4984 枚
8楼 发表于: 2024-10-16 , 来自:江苏省0==
深有同感,家有同款娃
爆料有奖!关注昆山论坛抖音号,抖音搜索“昆山论坛”,或搜索抖音号:ksbbs
 
帅哥离线杨扬洋
发帖
3737
昆币
106 枚
9楼 发表于: 2024-10-16 , 来自:江苏省0==
几岁啊就开始弄牙了
爆料有奖!关注昆山论坛抖音号,抖音搜索“昆山论坛”,或搜索抖音号:ksbbs
 
快速回复
限76 字节
如果您提交过一次失败了,可以用”恢复数据”来恢复帖子内容
 
上一个 下一个